肺癌是一个沉重的话题,号称“全球头号癌症杀手”。当肺癌患者的肺功能越来越差的情况下,该如何做出合理的选择?
上海市东方医院胸外科团队近日联合呼吸内科、麻醉科、重症监护室等多学科“接力”营救,成功让一名肺功能严重受损的肺癌患者,恢复正常生活,完成一场“精准诊断—手术切除—康复治疗”救治闭环的治疗。
59岁的张阿姨(化名)已有20余年的支扩病史,在长期反复感染的治疗过程中,右肺中叶结节逐渐增大,经过穿刺病理检查,发现肿瘤细胞,明确诊断为肺癌,同时PET-CT检查结果显示未见淋巴结及远处转移。张阿姨尚处中年,预期寿命较长,根据国内国际肺癌诊疗指南,手术根治性切除是该类患者最佳选择。然而,由于多年的支气管扩张反复感染,张阿姨的肺功能极差,活动耐力也明显减弱,患者及家属都担心手术风险过高。为了寻求更专业、安全且有效的治疗方案,张阿姨经多方打听和医生推荐,最终来到了上海市东方医院胸外科就诊。

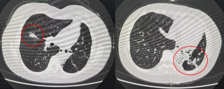
左图:右肺中叶结节(腺癌);右图:左肺下叶支扩病灶
张阿姨入院后,胸外科团队迅速展开病史询问并安排完善相关检查。胸部CT结果显示,患者双肺均存在支气管扩张,尤其是左肺呈现广泛的囊柱状扩张,左肺下叶损毁严重,纵隔明显向左侧偏移,左肺功能显著受限。肺功能检测显示FEV1(第一秒用力呼气量)仅占预计值的45%,而分侧肺功能检查进一步证实了患者及家属的担忧,右肺功能约占90%,左侧仅占10%左右——这意味着患侧(右肺)已经代偿了大部分肺功能,左肺的支气管扩张伴感染又需要术中进行隔离。
能手术吗?方文涛教授团队基于数十年技术积淀,对于合并基础疾病、肺功能差、巨大肿瘤等复杂患者的手术有着丰富的经验,给出“可行”的回答。
然而,张阿姨多年支气管扩张伴感染,如控制不佳,术后可能面临感染加重、呼吸衰竭甚至危及生命的风险。胸外科团队在张阿姨入院时,便联合呼吸内科团队协同诊疗,通过支气管镜检查及肺泡灌洗,及时清理积痰、寻找致病菌,并进行痰检和药敏测试,有针对性地对抗感染。经过多轮精准治疗,张阿姨的痰量逐渐减少,从黄浓痰变为稀薄白痰,症状明显好转。同时,胸外科团队为张阿姨制定了术前心肺功能训练方案,包括“腹式呼吸+阻力呼气训练”;还安排患者进行步行、爬楼梯等低强度有氧运动,提高心肺耐力。在营养强化与心理干预方面,调整均衡饮食,补充蛋白质,改善营养状态。通过呼吸内科与胸外科团队的联合治疗,张阿姨的支扩感染得到有效控制,心肺功能显著提升,为手术的实施创造了良好条件。
术中既要实现两侧肺的隔离,又要维持右侧肺萎陷以便手术操作,同时还要保障良好的通气和氧合,维持生命体征平稳,难度极高。为此,麻醉科团队精心制定了个体化麻醉方案,借助纤支镜引导,快速精准完成气管导管定位,实现左肺隔离,防止感染扩散;利用CPAP装置持续控压通气,结合间断小潮气量通气,确保手术顺利进行的同时维持生命体征稳定,通过反复吸引肺分泌物,预防术后肺部感染。
方文涛教授团队则术前评估制定完备的手术方案,凭借精湛的医术和丰富的临床经验,利用胸腔镜“精准狙击”,在与麻醉团队良好的协作配合下,仅半小时便完成了胸腔镜下右肺中叶切除,合理放置引流管并实施多模式镇痛。整个手术过程快速、精准、微创,无漏气、无明显出血!术后,麻醉团队通过在椎旁神经阻滞加强镇痛。

从术前精准评估、术中精细操作到术后加速康复,每一个环节都紧密衔接。
令人高兴的是,在医护科学指导与患者积极配合下,张阿姨恢复迅速,术后活动耐力与术前相当,无感染、无脓痰,术后第二天拔除引流管,第三天顺利出院。
上海市东方医院胸外科团队在持续提升自身专业水平的同时,充分发挥本院多学科诊疗的强大优势,将多学科协作贯穿于整个围术期管理。从术前精准评估、术中精细操作到术后加速康复,每一个环节都紧密衔接、无缝配合,确保每一位患者的诊疗过程安全、精准、快速且高效。
媒体链接:
1、上海科技报:
肺癌患者肺功能严重受损,东方胸外科联合多学科上演“生命逆袭”
https://www.shkjb.com/content.html?id=239316&_refluxos=a10
2、上观新闻:
肺癌患者肺功能严重受损,雪上加霜!怎么办?多学科上演“生命逆袭”
https://www.shobserver.com/staticsg/res/html/web/newsDetail.html?id=932641
3、浦东时报:
反复肺部感染发展成癌症,多学科合作上演“生命逆袭”
http://pudong-epaper.shmedia.tech/Article/index/aid/8922104.html
4、中国医学论坛报社
肺功能严重受损,肺癌患者如何实现“生命逆袭”?
https://www.cmtopdr.com/post/detail/0713a238-531d-41b3-a6e6-2283ef89b247.html